Kalbinde delik olarak dünyaya gelen Ayşenur Çalışkan'a 4 yaşında kalp pili takıldı. 9 ve 15 yaşlarında kalp pili jeneratörü değiştirilen Çalışkan, 24 yaşına geldiğinde göğüs kasılmaları, kolunda uyuşukluk ve kalp yetmezliği şikayetiyle Konya ve Ankara'daki hastanelere başvurdu.
Üçüncü kez kalp pili jeneratörü değişmesine rağmen hastalığı geçmeyen Çalışkan, Doç. Dr. Mevlüt Serdar Kuyumcu tarafından muayene edildi.
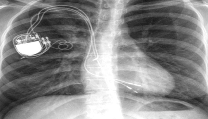
Çalışkan'ın tomografisini inceleyen Kuyumcu, 20 yıl önce takılan kalp pili kablosunun artık hastanın organlarına bağlandığını, kablonun birçok damara girip çıktığını, kablonun çekilmesi halinde hastanın hayatını kaybedeceğini fark ederek, çalışmalara odaklandı. kabloyu çıkarmadan hastayı tedavi etmek.
Hastaya takılacak yeni batarya sisteminin verimli çalışabilmesi için Kuyumcu'nun aklına, eski bataryanın içindeki iletken metal kabloları, kablonun dış tabakasına zarar vermeden, tek tek çıkarma fikri geldi. Bir önceki soruyu yanıtladım ve hasta onayını aldıktan sonra cerrahi aşamaya başladım.
Kuyumcu, Kardiyolog Doç. operasyonda ona yardım eden kişi. Dr. Con Bayram Ali Uysal, hastanın karın boşluğundaki teli keserek, yaklaşık 3 saatte açık kalp ameliyatı yapmadan içerideki 20 santimetrelik onlarca metal teli dış tabakaya zarar vermeden çıkardı. Bu ameliyatın ardından Çalışkan'a yeni kalp pili sistemi (jeneratör ve lead) takıldı ve ertesi gün hastaneden taburcu edildi.
“TEDAVİ YÖNTEMİMİZ YENİ BİR SEÇENEKTİR”
Doç. Dr. Mevlüt Serdar Kuyumcu, akü kablosunun tamamen çıkarılması hastanın ciddi hayati risk oluşturması nedeniyle açık ameliyat yapılmasının mümkün olmadığını söyledi.